A picture is worth a thousand words, right? This is especially true when it comes to dentistry. To see the quality of work and care you’ll enjoy at Laketown Family Dental, below, you’ll find a few examples of the smiles Dr. Eric and Dr. Ariel have given people over the years. As you’ll notice, they don’t accept anything less than perfection. Want to know more about some of the services featured here? Contact us today to learn how you can become the next stunning smile in our gallery.
Mark
Thanks to their expertise, my smile has been completely transformed, and it has made such a positive impact on my confidence and overall quality of life. I feel more comfortable smiling and interacting with others, and I can’t thank them enough for that.
Susan
I guess I never realized how self-conscious I was before I got my new crowns. My front teeth on the top and bottom were crumbling, and it was very noticeable (at least to me.) I am so happy now that I can truly smile and not feel embarrassed. Thank you to both Doctor Heissers and staff at Laketown Family Dental! You are all so competent, welcoming, and friendly.
Brody
I had a wonderful experience with Laketown Family Dental following an accident. The team was friendly and made me feel as comfortable as possible throughout my multiple appointments. Plus, my teeth look even better than before!
Irene
Laketown Family Dental is an extremely family oriented dental office. You feel so welcome from the minute you enter the front door. The entire staff is on top of patient needs and concerns. The technology is a forerunner in today’s dental world.
Bridges allow us to replace missing teeth while also enhancing the esthetics of the teeth
adjacent to the space by utilizing a series of crowns which are made as one unit. Because of recent advances
in bridge-material strengths and esthetics, Drs. Heisser often see patients wanting to upgrade their old
bridges to a more lifelike option.
Bridges allow us to replace missing teeth while also enhancing the esthetics of the teeth
adjacent to the space by utilizing a series of crowns which are made as one unit. Because of recent advances
in bridge-material strengths and esthetics, Drs. Heisser often see patients wanting to upgrade their old
bridges to a more lifelike option.
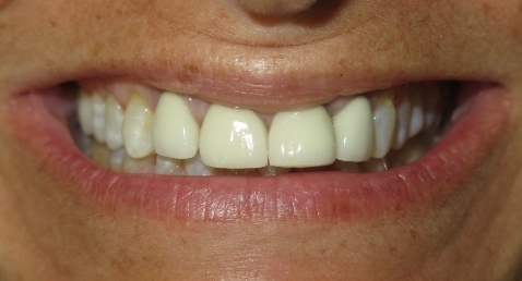
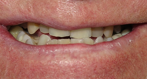
Crowns allow Drs. Heisser the most ability to change the size, shape, and position of the
teeth to get you the smile of your dreams! Drs. Heisser have extensive experience with cosmetic cases and
involve you every step of the way. These are not your grandparents crowns; we only work with the very best
labs and artists in the USA to build your custom smile in an incredibly lifelike way!
Crowns allow Drs. Heisser the most ability to change the size, shape, and position of the
teeth to get you the smile of your dreams! Drs. Heisser have extensive experience with cosmetic cases and
involve you every step of the way. These are not your grandparents crowns; we only work with the very best
labs and artists in the USA to build your custom smile in an incredibly lifelike way!
Crowns allow Drs. Heisser the most ability to change the size, shape, and position of the
teeth to get you the smile of your dreams! Drs. Heisser have extensive experience with cosmetic cases and
involve you every step of the way. These are not your grandparents crowns; we only work with the very best
labs and artists in the USA to build your custom smile in an incredibly lifelike way!
Crowns allow Drs. Heisser the most ability to change the size, shape, and position of the
teeth to get you the smile of your dreams! Drs. Heisser have extensive experience with cosmetic cases and
involve you every step of the way. These are not your grandparents crowns; we only work with the very best
labs and artists in the USA to build your custom smile in an incredibly lifelike way!
Crowns allow Drs. Heisser the most ability to change the size, shape, and position of the
teeth to get you the smile of your dreams! Drs. Heisser have extensive experience with cosmetic cases and
involve you every step of the way. These are not your grandparents crowns; we only work with the very best
labs and artists in the USA to build your custom smile in an incredibly lifelike way!
Crowns allow Drs. Heisser the most ability to change the size, shape, and position of the
teeth to get you the smile of your dreams! Drs. Heisser have extensive experience with cosmetic cases and
involve you every step of the way. These are not your grandparents crowns; we only work with the very best
labs and artists in the USA to build your custom smile in an incredibly lifelike way!
Crowns allow Drs. Heisser the most ability to change the size, shape, and position of the
teeth to get you the smile of your dreams! Drs. Heisser have extensive experience with cosmetic cases and
involve you every step of the way. These are not your grandparents crowns; we only work with the very best
labs and artists in the USA to build your custom smile in an incredibly lifelike way!
Crowns allow Drs. Heisser the most ability to change the size, shape, and position of the
teeth to get you the smile of your dreams! Drs. Heisser have extensive experience with cosmetic cases and
involve you every step of the way. These are not your grandparents crowns; we only work with the very best
labs and artists in the USA to build your custom smile in an incredibly lifelike way!
Crowns allow Drs. Heisser the most ability to change the size, shape, and position of the
teeth to get you the smile of your dreams! Drs. Heisser have extensive experience with cosmetic cases and
involve you every step of the way. These are not your grandparents crowns; we only work with the very best
labs and artists in the USA to build your custom smile in an incredibly lifelike way!
Drs. Heisser are excited to offer their patients the most advanced whitening system
available today! KöR whitening offers incredible results for most!
Drs. Heisser are excited to offer their patients the most advanced whitening system
available today! KöR whitening offers incredible results for most!
Drs. Heisser are excited to offer their patients the most advanced whitening system
available today! KöR whitening offers incredible results for most!
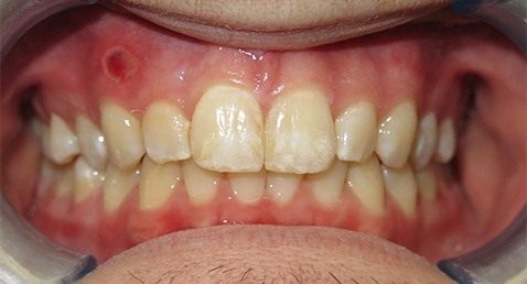
Drs. Heisser take oral lesions very seriously. They have proficiency in diagnosing the
most common oral fibromas and tissue tags, and also knowing when to referral to our partnering oral
surgeons. As these common lesions are often unsightly or uncomfortable, we offer the option to remove them
for some of our patients. You will be surprised at how quickly, and comfortably, you heal. Most removals
cost about as much as a dental filling!
Drs. Heisser take oral lesions very seriously. They have proficiency in diagnosing the
most common oral fibromas and tissue tags, and also knowing when to referral to our partnering oral
surgeons. As these common lesions are often unsightly or uncomfortable, we offer the option to remove them
for some of our patients. You will be surprised at how quickly, and comfortably, you heal. Most removals
cost about as much as a dental filling!
ICON is an relatively new technology that allows Drs. Heisser to correct certain types of
unsightly white spots on teeth without ever needing a needle or a drill! The most common are those left from
enamel weakening during braces. Certain patients can meet their smile goals with this conservative and less
costly option!
ICON is an relatively new technology that allows Drs. Heisser to correct certain types of
unsightly white spots on teeth without ever needing a needle or a drill! The most common are those left from
enamel weakening during braces. Certain patients can meet their smile goals with this conservative and less
costly option!
Microabrasion technology allows Drs. Heisser to minimize certain types of unsightly white
or brown spots on teeth without ever needing a needle or a drill! Although everyone’s result are different,
this procedure can make serious changes in your smile. Certain patients can meet their smile goals with this
conservative and less costly option!
Microabrasion technology allows Drs. Heisser to minimize certain types of unsightly white
or brown spots on teeth without ever needing a needle or a drill! Although everyone’s result are different,
this procedure can make serious changes in your smile. Certain patients can meet their smile goals with this
conservative and less costly option!
Veneers allow Drs. Heisser to make significant changes in the shape and size of your
teeth to meet your smile goals. Drs. Heisser have extensive experience with cosmetic cases and involve you
every step of the way. We only work with the very best labs and artists in the USA to build your custom
smile in an incredibly lifelike way!
Veneers allow Drs. Heisser to make significant changes in the shape and size of your
teeth to meet your smile goals. Drs. Heisser have extensive experience with cosmetic cases and involve you
every step of the way. We only work with the very best labs and artists in the USA to build your custom
smile in an incredibly lifelike way!